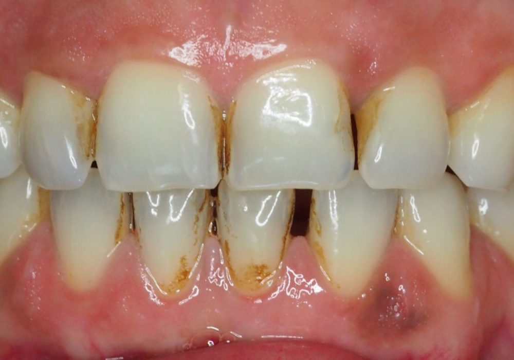
Pacjent zgłosił się z powodu obecności nieestetycznego osadu spowodowanego paleniem papierosów
Profesjonalna profilaktyka najważniejszą dziedziną stomatologii
Częstotliwość wizyt profilaktycznych
Zabiegi profilaktyczne, które przygotowaliśmy dla Ciebie
Skaling jest zabiegiem, który polega na usunięciu kamienia nazębnego za pomocą końcówki ultradźwiękowej. U osób dorosłych zaleca się przeprowadzenie tego zabiegu raz na 6-12 miesięcy, co pozwala to na utrzymanie zębów i dziąseł w zdrowiu. Ponadto skaling jest właściwie bezbolesny oraz całkowicie bezpieczny – nie narusza naturalnej struktury zęba.
Piaskowanie jest zabiegiem uzupełniającym skaling. Polega on na usunięciu osadów i przebarwień, które znajdują się na powierzchni zębów pochodzenia zewnętrznego (palenie tytoniu, kawa, herbata, niektóre pokarmy). Czyszczenie zębów z zanieczyszczeń odbywa się przy pomocy specjalistycznego urządzenia, piasku stomatologicznego wraz ze sprzężonym powietrzem i wodą. Przeprowadzany przez nas zabieg piaskowania pozwala na zachowanie komfortu i jest całkowicie bezpieczny. Systematyczne usuwanie osadu metodą piaskowania pozwala uzyskać efekt lśniących i zadbanych zębów. Dla osób palących lub ze skłonnościami do nadmiernego odkładania osadów zabieg ten zaleca się co 4-6 miesięcy.
Polerowanie to zabieg, który jest wykonywany po skalingu i piaskowaniu. Polega on na polerowaniu zębów pastą spowalniającą proces ponownego odkładania się płytki, osadu oraz przebarwień.
Fluoryzacja to zabieg, podczas którego fluor wbudowując się w zewnętrzną warstwę zęba, szkliwo, wzmacnia je i zabezpiecza przed próchnicą. Alternatywnie dla fluoru stosujemy również inne preparaty wzmacniające szkliwo, między innymi hydroksyapatyt oraz preparaty zawierające kompleks CPP-ACP, zwane również „płynnym szkliwem”.
Jak najlepiej zadbać o swoje zęby w domu?
Efekty leczenia
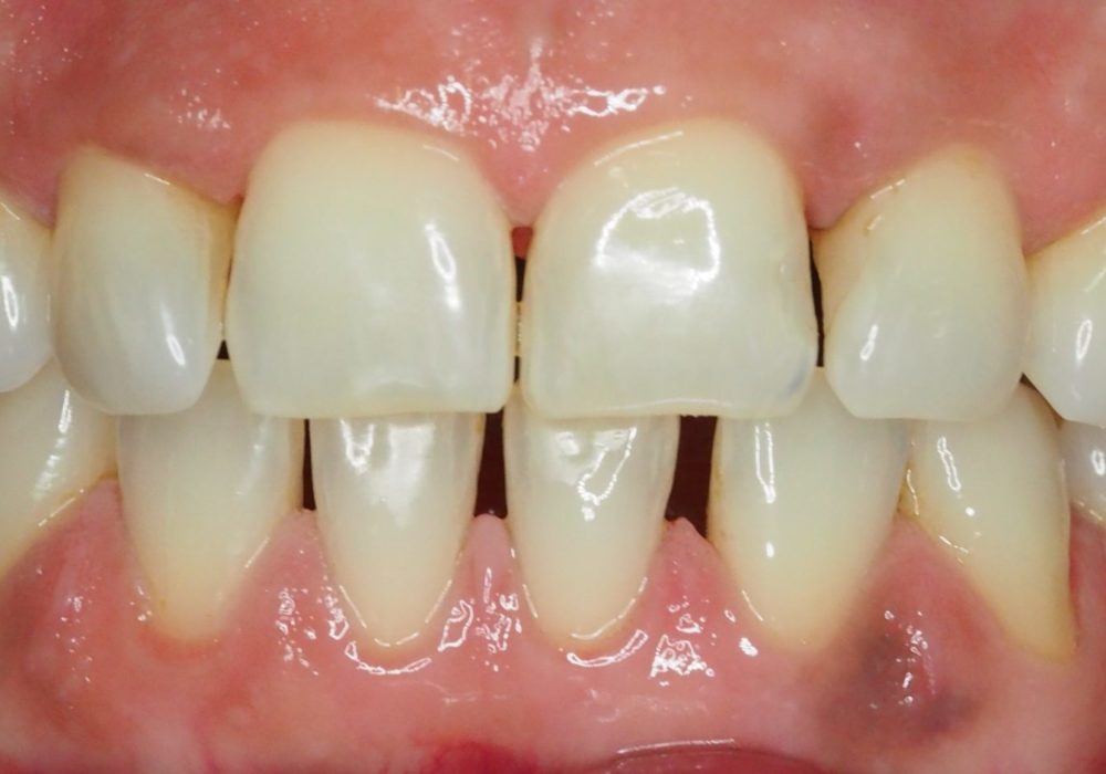
Przeprowadzony zabieg piaskowania z polerowaniem pozwolił na całkowite pozbycie się osadu i przebarwień
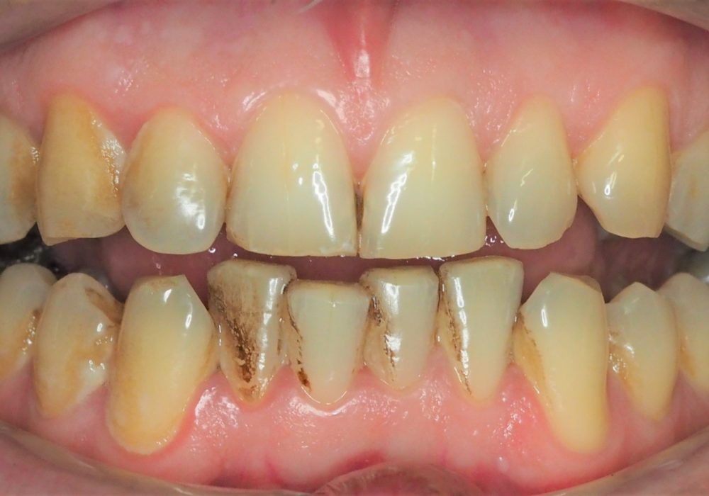
Przed zabiegiem usunięcia osadu spowodowanego głównie nawykiem picia kilku filiżanek czarnej kawy dziennie
Efekt uzyskany po zabiegu piaskowania z polerowaniem przez nasze higienistki
Efekt po piaskowaniu pojedynczego siekacza szczęki u Pacjenta palącego
Gładkie i pozbawione osadu zęby po całkowitym usunięciu przebarwień i polerowaniu
Pacjentka zgłosiła się z powodu ciemnego osadu na zębach i nieestetycznego wyglądu pokrytego kompozytem dwójki górnej prawej
Efekt po przeprowadzeniu kompleksowej wizyty higienizacyjnej oraz wykonaniu nowej odbudowy kompozytowej zęba przed docelowym leczeniem protetycznym
Pacjent zgłosił się celem oczyszczenia zębów z osadu spowodowanego paleniem papierosów
Efekt po piaskowaniu jako przygotowanie przed procedurą wybielania nakładkowego
Pacjent zgłosił się po roku na kontrolną wizytę z usunięciem kamienia
Po skalingu i zabiegu polerowania uciśnięte przez kamień dziąsła mogą ulec wygojeniu
Poznaj naszych ekspertów
Iwona Ostrowska
Halina Sidowska
Daria Gajewska
Często zadawane pytania
Jak często należy zgłaszać się na zabiegi profilaktyczne w gabinecie stomatologicznym?
Na zabiegi profilaktyczne należy zgłaszać się regularnie, przynajmniej raz na 6 do maksymalnie 12 miesięcy. Częściej na tego typu wizyty powinni udawać się Pacjenci, którzy palą papierosy, ponieważ są bardziej narażeni choroby dziąseł i odkładanie osadu. Wizyty profilaktyczne mają kluczowe znaczenie w utrzymaniu zębów i jamy ustnej w zdrowiu.















