Korona protetyczna to rekonstrukcja pojedynczego zęba, może być ona osadzona:
Na zębie własnym Pacjenta:
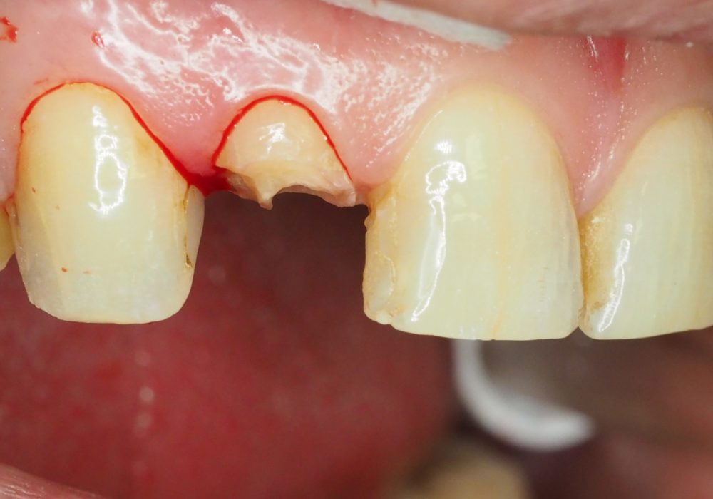
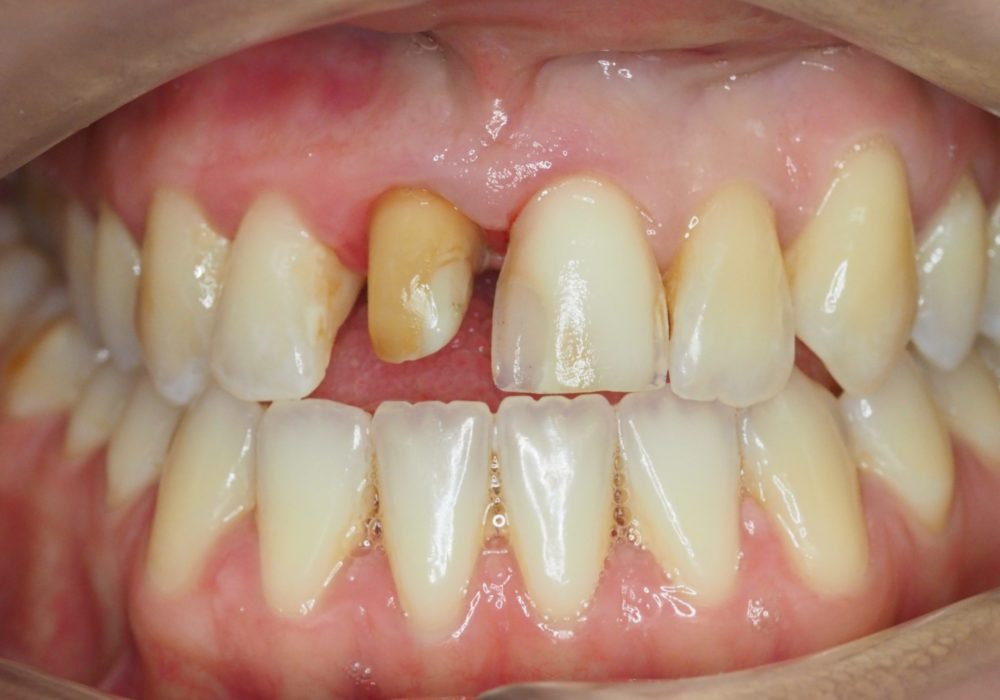
Korony można wykorzystać w celu wzmocnienia i poprawy estetyki zębów, które np. są przebarwione, znacznie zniszczone lub są po leczeniu endodontycznym. W takiej sytuacji koronę cementuje się na oszlifowanych tkankach własnych zęba lub wcześniej przygotowanym wkładzie.
Na implancie:
W przypadku utraty jednego zęba można wszczepić w jego miejsce implant stomatologiczny, czyli niewielki tytanowy element, zastępujący korzeń zęba. Po okresie wgajania implant w pełni zrasta się z kością i można zamocować na nim, na stałe wysoko estetyczną koronę. Tego typu odbudowa zapewnia pełen komfort, porównywalny z posiadaniem własnego, zdrowego zęba.
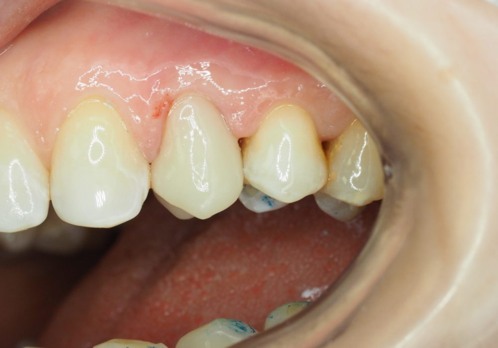
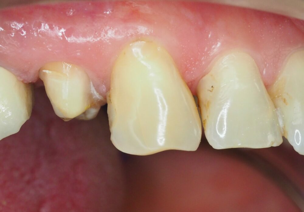
W naszym gabinecie wykonujemy prace w technologii CAD/CAM. Ta innowacyjna technologia komputerowego projektowania i wykonania prac protetycznych zapewnia odtworzenie naturalnego kształtu i struktury zęba z maksymalną precyzją. Z kolei połączenie precyzji z materiałami najwyższej jakości, takimi jak porcelana czy cyrkon, pozwala osiągnąć doskonały efekt estetyczny trwający przez lata. Są to odbudowy o najwyższej jakości i wytrzymałości, wyjątkowo naturalnym pięknie i wysokiej precyzji wykonania.




















