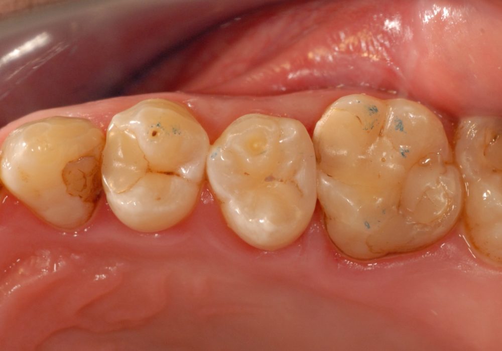
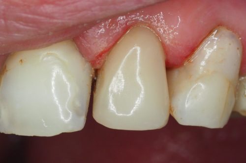
Pacjent zgłosił się z powodu głębokiego ubytku w górnym zębie przedtrzonowym powodującym okresowe dolegliwości bólowe przy jedzeniu
Skuteczne i bezbolesne leczenie próchnicy zębów
Wczesne rozpoznanie
Próchnica to choroba
- Obecność bakterii
- Występowanie w diecie dużej ilości cukrów
- Podatność zębów
- Czas ekspozycji zębów na płytkę nazębną, bakterie i cukry
Każdy z wymienionych wyżej elementów jest czynnikiem koniecznym, ale samodzielnie niewystarczającym do powstania ubytku próchnicowego. Główną przyczyną rozwoju próchnicy u dorosłych jest nieprawidłowe oczyszczanie zębów, z kolei u dzieci najpowszechniejszym czynnikiem są oprócz tego nieprawidłowe nawyki żywieniowe takie jak podjadanie, picie słodzonych napojów lub jedzenie po wieczornym myciu zębów. Warto podkreślić, że nieleczona próchnica jak każda choroba bakteryjna rozprzestrzenia się na sąsiadujące zęby.
Objawy próchnicy zębów
Metody leczenia próchnicy
Nowoczesną metodą leczenia próchnicy początkowej jest m.in. remineralizacja. Na niewielkie odwapnienia, po wcześniejszym oczyszczeniu tego miejsca, aplikuje się odpowiednie preparaty zawierające niezbędne minerały takie jak fluor, wapń i fosforany. Mają one na celu zatrzymanie procesu próchnicowego oraz zregenerowanie uszkodzonej tkanki. Dla lepszej skuteczności zabiegi te często powtarzane są na kilku sesjach. Inną stosowaną przez nas metodą jest infiltracja próchnicy przy zastosowaniu specyficznej żywicy ICON.
Efekty leczenia
Całkowicie opracowano ubytek, wykonano wytrzymałe i estetyczne wypełnienie kompozytowe będące praktycznie nie do odróżnienia w tkankami własnymi zęba
Pacjentka zgłosiła się z powodu nieestetycznego przebarwienia pomiędzy zębami, w okolicy obecnego wypełnienia
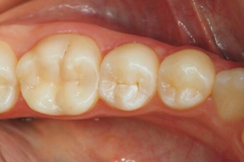
Usunięto nieszczelne wypełnienia, całkowicie opracowano ubytki próchnicowe i założono dopasowane kolorem i przeziernością wypełnienia kompozytowe
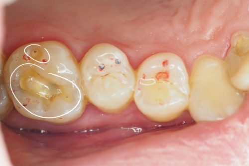
Ząb zakwalifikowano do leczenia ze względu na obecność próchnicy pod nieszczelnym wypełnieniem
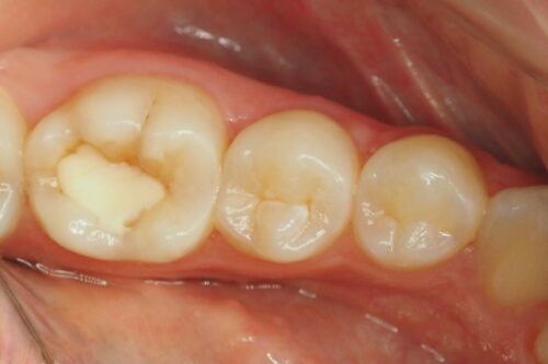
Usunięto próchnicę i anatomicznie odbudowano powierzchnię żującą zęba materiałem kompozytowym
Ząb z nieszczelnym wypełnieniem na powierzchni zgryzowej i próchnicą
Opracowano ubytek próchnicowy oraz wykonano anatomiczną odbudowę materiałem kompozytowym
Pacjentka zgłosiła się na kolejną wizytę celem wymiany nieszczelnych wypełnień amalgamatowych. Na zdjęciu szóstka po odbudowie kompozytowej. Na życzenie Pacjentki leczenie zostało podzielone na etapy
Usunięto w odpowiedniej osłonie wypełnienie amalgamatowe oraz wykonano anatomiczną odbudowę powierzchni zgryzowej materiałem kompozytowym. Na kolejnej wizycie planowana jest wymiana wypełnienia w ósemce
Pacjentka zgłosiła się z powodu licznych, nieszczelnych i nieestetycznych wypełnień w górnej dwójce
Usunięto stare wypełnienia, opracowano ubytki i wykonano estetyczną odbudowę korony zęba materiałem kompozytowym
Pacjent zgłosił się z powodu brzydkich, kilkuletnich wypełnień w odcinku przednim
Dokonano wymiany wypełnień na takie z wysokoestetycznego materiału kompozytowego
Poznaj naszych ekspertów
Jakub Łata
Alicja Piwońska
Barbara Aleksandrzak
Agata Sobczak-Zuszek
Sylwia Roszuk
Aleksandra Kabała
Często zadawane pytania
1. Jak długo po założeniu wypełnienia nie można jeść oraz pić?
W naszym gabinecie stosujemy głównie kompozytowe wypełnienia światłoutwardzalne. Oznacza to, że podczas zabiegu plomba jest utwardzana światłem lampy UV, a materiał natychmiast twardnieje. Stąd o ile lekarz prowadzący nie zaleci inaczej Pacjent od razu po wyjściu z gabinetu może jeść i pić.
2. Czy wypełnienia są rozwiązaniem trwałym?
Wypełnienia światłoutwardzalne mogą służyć Pacjentowi przez wiele lat pod warunkiem, że dba o higienę jamy ustnej oraz regularnie udaje się na wizyty kontrolne. Trwałość wypełnień kompozytowych w zależności od warunków to zwykle od 5 do 15 lat. Rozwiązaniami o jeszcze dłuższej żywotności są nowoczesne i estetyczne odbudowy typu Inlay i Onlay dedykowane do rozległych ubytków.
3. Jak często należy zgłaszać się na wizyty kontrolne?
Zaleca się, aby Pacjenci zgłaszali się do swojego lekarza regularnie co pół roku, chyba, że zaleci inaczej. W trakcie wizyty kontrolnej lekarz dentysta oceni stan zdrowia jamy ustnej, przeprowadzi zabiegi profilaktyczne czy zaproponuje najlepsze rozwiązania ewentualnego problemu.






















